Οι κεραμίστες θα πρέπει να έχουν φαντασία για να οπτικοποιήσουν την τελική αποκατάσταση για κάθε ασθενή ξεχωριστά. Τόσο οι αποχρώσεις του χρωματολογίου όσο και το χρώμα των εναπομείναντων δοντιών του ασθενή θα πρέπει να λαμβάνονται υπόψη έτσι ώστε η νέα αποκατάσταση να εναρμονίζεται με τα υπόλοιπα δόντια. Κατά την κλινική εξέταση, ο οδοντίατρος θα πρέπει να επικοινωνήσει στον οδοντοτεχνίτη όλες τις πτυχές της ανατομίας και της απόχρωσης για την προτεινόμενη αποκατάσταση. Ο προσδιορισμός του βασικού χρώματος και των εξατομικευμένων εφέ είναι, επομένως, σημαντικά για την επιλογή των κεραμικών υλικών και την αποτελεσματική αναπαραγωγή των φυσικών χαρακτηριστικών. Επειδή οι ασθενείς επιθυμούν συνήθως πιο ανοικτές αποχρώσεις απο τα φυσικά τους δόντια, είναι σημαντικό να γνωρίζουμε πώς να ρυθμίζουμε το χρωματικό τόνο και κορεσμό. Η επίτευξη της σωστής απόχρωσης, μορφολογίας και υφής απαιτεί πάντα περισσότερο από ένα διαδικαστικό βήμα. Κατά συνέπεια, απαιτείται ένα συγκεκριμένο πρωτόκολλο για την κεραμική διαστρωμάτωση και τελειοποίηση για να επιτευχθεί μία άριστη συμφωνία αυτών των βασικών αισθητικών παραγόντων. Η εργασία του οδοντοτεχνίτη στηρίζεται στην ανατομική κατανόηση της εξατομικευμένης οδοντικής δομής και είναι μία δημιουργική έκφραση όπως η τέχνη. Στο ακόλουθο άρθρο περιγράφεται ένα τεκμηριωμένο πρωτόκολλο βήμα προς βήμα που ικανοποιεί τις αισθητικές ανάγκες των ασθενών μας.
Κλινική κατάσταση
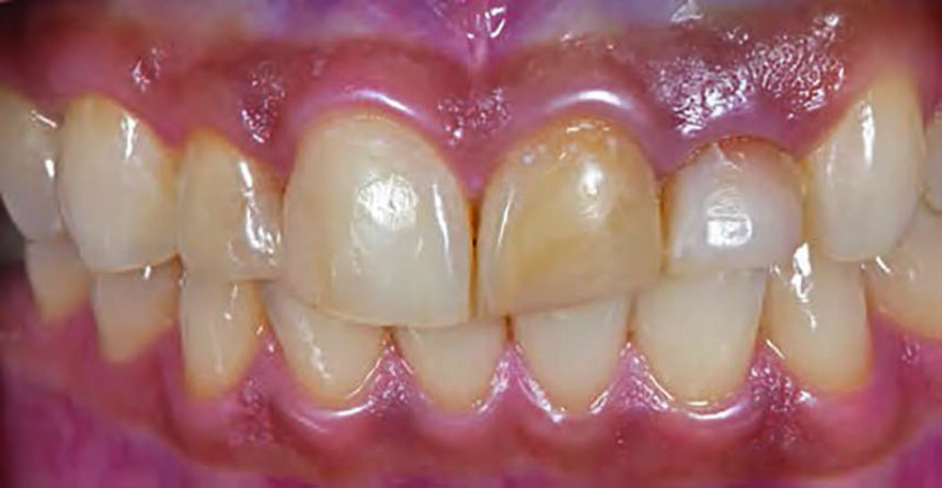
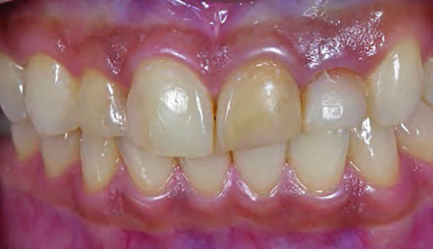
Ένας 53χρονος ασθενής προσήλθε στο ιατρείο μας με αισθητικούς οδοντιατρικούς προβληματισμούς. Κατά την κλινική εξέταση, παρατηρήθηκαν αποκαταστάσεις σύνθετης ρητίνης σε όλους τους άνω τομείς και ο 21 εμφάνιζε δυσχρωμία(εικ. 1). Τα κοπτικά άκρα ήταν ασύμμετρα και δεν εναρμονίζονταν με τη γραμμή του κάτω χείλους, και επειδή η μορφολογία δεν ακολουθούσε αυτή των φυσικών δοντιών, χρειάστηκαν ολοκεραμικές στεφάνες για να καταστεί το χαμόγελο του ασθενή πιο φυσικό. Η κλινική και ακτινογραφική εξέταση δεν αποκάλυψαν κάποια παθολογία.
Προσθετικό σχέδιο θεραπείας
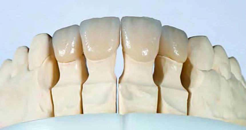
Το βασικό χρώμα καταγράφηκε χρησιμοποιώντας το χρωματικό οδηγό Vita Toothguide 3DMaster Shade Guide(εικ. 2-5). Στη συνέχεια, κατασκευάστηκαν σκελετοί από οξείδιο της ζιρκονίας Vita YZHT με μηχάνημα CAD/CAM και τοποθετήθηκαν στο εκμαγείο(εικ. 6). Επελέγη η πορσελάνη Vita VM9 ως κεραμικό σύστημα διαστρωμάτωσης λόγω της φυσικής απόχρωσης και φωτεινότητας. Κατασκευάστηκαν μήτρες σιλικόνης επάνω στο διαγνωστικό κέρωμα και στη συνέχεια μία από αυτές κόπηκε και μετατράπηκε σε κλειδί σιλικόνης. Αυτό το κλειδί χρησιμοποιήθηκε στη συνέχεια για να προσδιοριστούν τα όρια της διαστρωμάτωσης και να καθοριστεί το σχήμα των στεφανών(εικ. 7).
Πρώτα βήματα
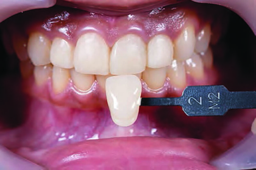
Μετά την πραγματοποίηση των οδοντικών παρασκευών, λήφθηκε ένα αποτύπωμα σιλικόνης της άνω οδοντοφυίας μαζί με ένα αποτύπωμα αλγινικού των κάτω δοντιών. Με τη βοήθεια της μήτρας σιλικόνης κατασκευάστηκαν προσωρινές αποκαταστάσεις και συγκολλήθηκαν. Στη συνέχεια, προχωρήσαμε στη χρωματοληψία με χρωματικό οδηγό Vita Toothguide 3D Master. Στην πρώτη φάση της χρωματοληψίας προσδιορίστηκε ο χρωματικός τόνος και στη δεύτερη φάση ο χρωματικός κορεσμός και η απόχρωση. Το βασικό χρώμα ήταν 2Μ2. Το βασικό χρώμα καταγράφηκε και λήφθηκε μία ψηφιακή φωτογραφία με τα φυσικά δόντια και αποθηκεύθηκαν και τα δύο στο αρχείο του ασθενή. Μετά τη λήψη των αποτυπωμάτων, το εργαστήριο κατασκεύασε ένα εκμαγείο εργασίας και ένα τελικό εκμαγείο.
Στη συνέχεια, προχωρήσαμε στην ψηφιοποίηση του τελικού εκμαγείου με το εργαστηριακό scanner inEos X5. Οι σκελετοί σχεδιάστηκαν με το σύστημα λογισμικού InLab SW 15 CAD και κατεργάστηκαν με τη συσκευή CAM inLab MCXL. Μετά τον καθαρισμό των αποκαταστάσεων με απιονισμένο νερό για να αφαιρεθεί η σκόνη από τη διαμόρφωση, πραγματοποιήθηκε όπτηση καθαρισμού στο Vita Vacumat.
Χρωματική αναπαραγωγή
Για να εξασφαλίσουμε έναν αξιόπιστο δεσμό με τα υλικά διαστρωμάτωσης, πραγματοποιήθηκε ειδικός κύκλος όπτησης μετά την εφαρμογή Effect Liner 2(μπεζ)(εικ. 8 και 9). Η χρήση αυτού του επιχρίσματος έχει, επίσης, συνέπεια το χαρακτηρισμό του χρωματικού τόνου και το φθορισμό εκ των έσω της στεφάνης. Στην αυχενική περιοχή, χρησιμοποιήθηκε Chroma Plus 2(μπεζ) με ελαττούμενη ένταση προς το κοπτικό άκρο, έτσι ώστε να δημιουργηθεί μία χρωματική διαβάθμιση. Ακολούθησε η τοποθέτηση Transpa Dentine 2M1(μπεζ) κατά μήκος των ορίων(εικ. 10).
Χρησιμοποιήθηκε Transpa Dentine 2M2 για να προσδώσει εγγενές χρώμα στο σώμα της οδοντίνης(εικ. 11). Η ανατομία των προστομιακών επιφανειών αναπαράχθηκε με Effect Chroma 10(πράσινο-καφέ), ακολουθούμενη από μία πρώτη όπτηση οδοντίνης. Για ενίσχυση του χρωματικού κορεσμού στην αυχενική περιοχή, τοποθετήθηκε Sun Dentine 2(ανοικτό πορτοκαλί). Οι εγγύς και άπω όμορες ακρολοφίες αναδιαμορφώθηκαν χρησιμοποιώντας Transpa Dentine 2M1. Τοποθετήθηκε, επίσης, ένα δεύτερο στρώμα Transpa Dentine 2M2 για να προσδώσει μία τρισδιάστατη εμφάνιση που να προέρχεται εκ των έσω. Το κοπτικό άκρο χαρακτηρίστηκε με Effect Enamel 10(μπλε). Σε αυτή την περιοχή, προστέθηκε ξανά Effect Chroma 10 για τη διαμόρφωση και το χαρακτηρισμό των επιφανειακών ανατομικών δομών. Η κοπτική περιοχή ολοκληρώθηκε με Effect Opal 1(ουδέτερο) και Enamel(ENL)(εικ. 12 έως 14). Μετά τη δεύτερη όπτηση οδοντίνης, τοποθετήθηκαν Interno 10(καφέ) και 09(μπεζ) στην αυχενική περιοχή και στη συνέχεια ακολούθησε όπτηση για Τρίτη φορά(εικ. 15). Έπειτα οι στεφάνες χαρακτηρίστηκαν με Interno 02(άμμος) και 06(καφέ διαφανές) καθώς και Interno 08(μπλε) για ένα εφέ ημιδιαφάνειας και ψήθηκαν για τέταρτη φορά(εικ. 16). Μετά από αυτή την όπτηση, ολοκληρώθηκε το στρώμα αδαμαντίνης με την εφαρμογή Neutral, Window, Effect Enamel 4 (κιτρινίζον) και 5 (κιτρινίζον-ημιδιαφανές) στην κοπτική περιοχή(εικ. 17). Πραγματοποιήθηκε μία Πέμπτη όπτηση με συνπέπεια αποκαταστάσεις με ιδανικές ανακλαστικές ιδιότητες του φωτός (εικ. 18 και 19).
Αναπαραγωγή της φυσικής οδοντικής μορφολογίας
Για να αναπαραχθεί η μορφολογία του φυσικού δοντιού, η τελειοποίηση πραγματοποιήθηκε στο εκμαγείο εργασίας για να εναρμονιστεί το σχήμα της στεφάνης με τη φατνιακή ανατομία και τις μεσοδόντιες θηλές. Οι πλάγιες και κεντρικές ακρολοφίες σημειώθηκαν με μαύρο και κόκκινο μολύβι (εικ. 20) και επετεύχθη μία αισθητική μορφολογία και υφή με φρέζες διαμαντιού καρβιδίου. Ωστόσο, χρειάζονταν ακόμη μικρές αλλαγές μέσω αυτού που αποκαλείται διορθωτική όπτηση(εικ. 21). Τοποθετήθηκαν Effect Enamel 6 (κοκκινίζον-ημιδιαφανές) και 7 (πορτοκαλί-ημιδιαφανές) στις αυχενικές περιοχές και Effect Enamel 2 (παστέλ) στο ελαφρώς ακρορριζικά του μέσου τμήματος του δοντιού της εγγύς ακρολοφίας των πλαγίων τομέων και προς τις ελαφρώς μυλικά προς το μέσο τμήμα του δοντιού στις άπω ακρολοφίες των κεντρικών τομέων και τοποθετήθηκε Neutral στις εγγύς κοπτικές περιοχές και των τεσσάρων στεφανών. Όλα τα κεραμικά υλικά που χρησιμοποιήθηκαν σε αυτές τις διαδικασίες αναμίχθηκαν με Vita Akzent Plus Stains(σκόνη/υγρό). Η τελική διορθωτική όπτηση της πορσελάνης φαίνεται στις εικόνες 22 και 23.
Μετά την τελείωση και στίλβωση, τοποθετήθηκε χρυσόσκονη για οπτικοποίηση των λεπτομερειών της μορφολογίας των στεφανών (εικ. 24 και 25). Πραγματοποιήθηκε όπτηση γλασαρίσματος με Vita Akzent Plus Stains. Με πάστα στίλβωσης και τη χρήση μίας βούρτσας στίλβωσης, επετεύχθη η σωστή στιλπνότητα (εικ. 26).
Συμπεράσματα
Μετά τα θετικά σχόλια του ασθενή, οι στεφάνες στους 12-22 συγκολλήθηκαν με αυτοσυγκολλούμενη ρητίνη. Η μορφολογία και υφή τους εναρμονίζονται με την ουλική ανατομία. Το φως απορροφάται και αντανακλάται από τα κεραμικά στρώματα με συνέπεια ένα φυσικό παιχνίδισμα του φωτός και του χρώματος (εικ. 27 έως 30). Με τη δημιουργικότητα του οδοντοτεχνίτη και ένα συστηματικό πρωτόκολλο, επετεύχθη ελκυστική συνολική αισθητική, μιμούμενη τη φυσική ανατομική βιολογία. Οι αποκαταστάσεις ξεκάθαρα ενσωματώνονται άριστα με τα παρακείμενα φυσικά δόντια (εικ. 31 και 32).

Εικ. 1
Αρχική κατάσταση με πολλαπλές εμφράξεις ρητίνης στην αισθητική ζώνη.

Εικ. 2
Ακριβής προσδιορισμός του χρώματος των δοντιών με Vita Toothguide 3D Master.

Εικ. 3
Το καθορισμένο βασικό χρώμα 2Μ2 καταγράφηκε και λήφθηκε μία ψηφιακή φωτογραφία.

Εικ. 4
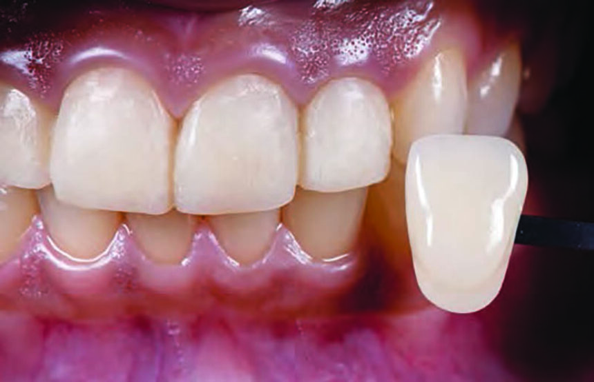
Λήφθηκε μία φωτογραφία του βασικού χρώματος τοποθετημένου δίπλα στο μη αποκατεστημένο κυνόδοντα…

Εικ. 5
…και λήφθηκαν περισσότερες φωτογραφίες σε διαφορετικές γωνίες προς την οδοντοφυία για να ληφθούν όσο το δυνατόν περισσότερα δεδομένα για το εργαστήριο.

Εικ. 6
Σκελετοί υψηλής ημιδιαφάνειας κατασκευασμένοι σε μηχάνημα CAD/CAM στο τελικό εκμαγείο.

Εικ. 7
Το κλειδί σιλικόνης που λήφθηκε από το διαγνωστικό κέρωμα λειτουργεί ως μορφολογικός οδηγός διαστρωμάτωσης.

Εικ. 8
EFFECT LINER 2(μπεζ) τοποθετημένο.

Εικ. 9
Το αποτέλεσμα μετά την όπτηση.

Εικ. 10
Τοποθετήθηκε Sun Dentine(ανοικτό κίτρινο) στην αυχενική περιοχή. Οι άπω όμορες ακρολοφίες ολοκληρώθηκαν με Transpa Dentine 2M1.

Εικ. 11
Τοποθετήθηκε Transpa Dentine 2M2 στο μεγαλύτερο μέρος των παρειακών περιοχών για να δημιουργηθεί τρισδιάστατη εμφάνιση εκ των έσω.

Εικ. 12
Η κοπτική περιοχή τελειοποιήθηκε με Effect Opal 1(ουδέτερο) και Enamel(ENL).

Εικ. 13
Εικόνα της τελικής κεραμικής διαστρωμάτωσης στις 4 στεφάνες πριν τη δεύτερη όπτηση οδοντίνης.

Εικ. 14
Χρώματα Vita interno για εξασφάλιση του χαρακτηρισμού με άριστη αναπαραγωγή των εν τω βάθει χρωματικών εφέ.

Εικ. 15
Οι στεφάνες χαρακτηρίστηκαν με Interno 01(λευκό) για προσομοίωση των επιφανειακών γραμμών.

Εικ. 16
Η περιοχή των προστομιακών ανατομικών χαρακτηριστικών έχει ολοκληρωθεί με Interno 02(άμμος) και 06(ανοικτό καφέ). Για κοπτική ημιδιαφάνεια, χρησιμοποιήθηκε Internal 08(μπλε).

Εικ. 17
Η αδαμαντίνη ολοκληρώθηκε με διαστρωμάτωση με Neutral, Window, Effect Enamel 4(κιτρινίζον) και 5(κιτρινίζον-ημιδιαφανές).

Εικ. 18
Αυτή είναι μία άποψη της ολοκληρωμένης διαστρωμάτωσης της αδαμαντίνης πριν την όπτηση.

Εικ. 19
Μετά την όπτηση, η τρισδιάστατη εμφάνιση της διαστρωμάτωσης είναι ορατή.

Εικ. 20
Για την ολοκλήρωση της μορφολογίας, οι πλάγιες και κεντρικές ακρολοφίες σημειώθηκαν με μαύρο και κόκκινο.

Εικ. 21
Μετά τη μορφολογική διαμόρφωση, οι στεφάνες στιλβώθηκαν και αξιολογήθηκαν.

Εικ. 22
Αρμονία μορφολογίας και χρώματος μετά τη διορθωτική όπτηση.

Εικ. 23
Η κοπτική περιοχή εμφανίζει φυσικό παιχνίδισμα φωτός και χρώματος.

Εικ. 24
Τοποθετήθηκε χρυσόσκονη για να τονιστεί η επιφανειακή δομή των στεφανών.

Εικ. 25
Η μορφολογία φαίνεται από ελαφρώς διαφορετική οπτική.

Εικ. 26
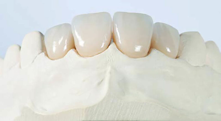
Οι τελικές αποκαταστάσεις μετά την τελείωση και στίλβωση στο εκμαγείο εργασίας.

Εικ. 27
Η μορφολογία εναρμονίζεται με την ουλική ανατομία και τα παρακείμενα δόντια.

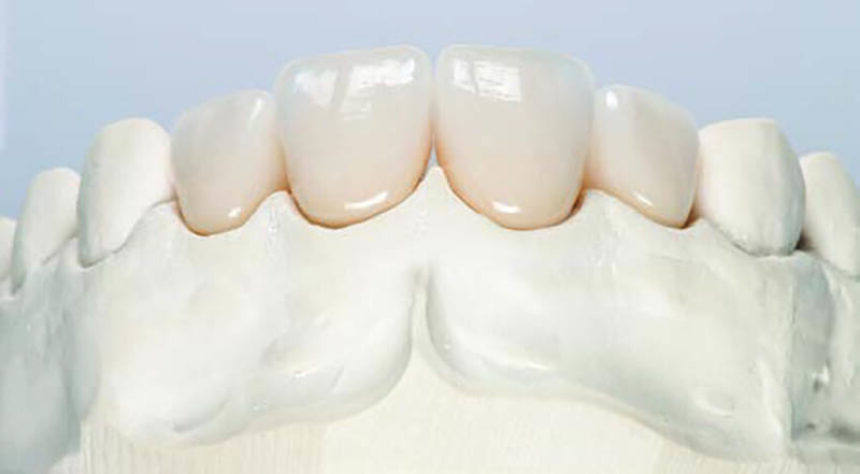
Εικ. 28
Οι στεφάνες εξετάζονται σε διαφορετικές γωνίες με διάφορες συνθήκες φωτισμού…

Εικ. 29
…για έλεγχο της μορφολογίας, της υφής, της χρωματικής διαβάθμισης και των εφέ.

Εικ. 30
Η χρωματική διαβάθμιση είναι ορατή στις στεφάνες.


Εικ. 31-32
Αρχική κατάσταση και τελικό αποτέλεσμα. Επιτυχημένη αποκατάσταση στην αισθητική ζώνη με αποκαταστάσεις φυσικής εμφάνισης.
Aναδημοσίευση από το Laborama T.86/2020
English


Επερχομενα Events
Σεμινάρια
Bogo TEST – 2 product
Ημερομηνία διεξαγωγής: 8-9/02/2025 (Αθήνα)
Σεμινάρια
Bogo TEST – 1 product
Ημερομηνία διεξαγωγής: 8-9/02/2025 (Αθήνα)
Σεμινάρια
TEST – 2ήμερο Σεμινάριο Botox & Dermal Fillers (Αθήνα)
Ημερομηνία διεξαγωγής: 8-9/02/2025 (Αθήνα)
Σεμινάρια
Χρήση του πρωτοξειδίου του αζώτου στην καθημερινή οδοντιατρική κλινική πράξη
Ημερομηνίες διεξαγωγής: Module I: 28-29-30/3/2025, Module 2: 30-31/5-1/6/2025, Module 3
Σεμινάρια
Κλινικό Πρόγραμμα Βασικής Εκπαίδευσης στην Εμφυτευματολογία
Σεμινάρια
Mastering Soft Tissue Surgery, 2025
Ημερομηνίες διεξαγωγής: MODULE I 04-06 APR 2025 • MODULE II 19-21 JUNE 2025 • MODULE III 24-26 JUL 2025 • MODULE IV OCT 2025