Στο άρθρο αυτό η Dr. Clarissa Jänig περιγράφει τον τρόπο με τον οποίο χειρίστηκε ένα περιστατικό οδοντικής λεύκανσης με τη χρήση του λευκαντικού OpalescenceTM Endo, το οποίο συνδυάστηκε με την αντικατάσταση των υπαρχουσών προβληματικών αποκαταστάσεων και τη θεραπεία των τερηδονικών βλαβών.
Το αποτέλεσμα της θεραπείας ήταν άκρως ικανοποιητικό και η ασθενής απέκτησε ένα λαμπερό και με αυτοπεποίθηση χαμόγελο.
Διαβάστε όλοκληρο το άρθρο
Αναδημοσίευση από το Ultradent Products EU, Μάρτιος 2022
Σχετικά με τη Συγγραφέα: Dr. Clarissa Jänig, Γερμανία
Απόφοιτος της Οδοντιατρικής Σχολής του Πανεπιστημίου της Βόννης
Άσκηση γενικής οδοντιατρικής από το 2012
Ειδικεύεται στην ορθοδοντική
Ιστορικό:
Μία 30χρονη ασθενής προσήλθε στο ιατρείο μας ζητώντας επείγουσα οδοντιατρική θεραπεία. Ανησυχούσε για τον δυσχρωμικό κεντρικό τομέα της, ο οποίος έκανε το γέλιο μία αιτία μεγάλης δυστυχίας για εκείνην. Εξήγησε τις αναστολές της και ρώτησε πώς θα μπορούσαμε να τη βοηθήσουμε να βελτιώσει την κατάστασή της. Εξήγησα τις διάφορες θεραπευτικές δυνατότητες, που κυμαίνονταν από προσθετικές λύσεις έως μία πιο συντηρητική προσέγγιση που περιλάμβανε εσωτερική λεύκανση του ενδοδοντικά θεραπευμένου αριστερού κεντρικού τομέα της άνω γνάθου.
Για να εξασφαλιστεί μία ομοιογενής εμφάνιση πρότεινα επίσης πλήρη αισθητική λεύκανση των δοντιών για τον άνω και τον κάτω φραγμό. Εξήγησα ότι το πρώτο βήμα της θεραπείας θα ήταν η λεύκανση των δοντιών ώστε οι αποκαταστάσεις που θα τοποθετούνταν αργότερα να ταιριάζουν με το νέο χρώμα των δοντιών. Ακολούθως πρότεινα την αντικατάσταση των υπαρχουσών προβληματικών αποκαταστάσεων και τη θεραπεία των τερηδονικών βλαβών.
Μεταξύ του πρώτου ραντεβού και του προγραμματισμένου ραντεβού της λεύκανσης των δοντιών, η ασθενής ανακάλυψε ότι ήταν έγκυος. Καθώς η εγκυμοσύνη και η γαλουχία είναι απόλυτες αντενδείξεις για τη λεύκανση των δοντιών, χρειάστηκε να αναβληθεί η έναρξη της θεραπείας της.
Ενώ η ασθενής θήλαζε ακόμα, μία παλαιά έμφραξη στον τομέα έσπασε και η φαιόχρωμη τερηδονική βλάβη μεταξύ των δοντιών έγινε εμφανώς ορατή. Αυτό είχε ως αποτέλεσμα η ασθενής να αποφασίσει να διακόψει το θηλασμό και να αρχίσει τη θεραπεία της άμεσα.
Το θεραπευτικό πρωτόκολλο:
Είναι απαραίτητη προϋπόθεση για την επιτυχή λεύκανση ενός ενδοδοντικά θεραπευμένου δοντιού να μην υπάρχει κλινική ή ακτινογραφική ανεπάρκεια. Για να επιβεβαιωθεί η καταλληλότητα αυτού του δοντιού για εσωτερική λεύκανση πραγματοποίησα μία ενδοστοματική εξέταση, μία δοκιμασία επίκρουσης και μία ακτινογραφία. Η ακτινογραφία δεν έδειξε κάτι μη φυσιολογικό οπότε μπορούσε να ξεκινήσει η θεραπεία.
Ξεκίνησα τη θεραπεία δημιουργώντας μία διάνοιξη, αφαιρώντας την παλαιά υπερώια αποκατάσταση, για να αποκαλυφθεί η υπάρχουσα έμφραξη του ριζικού σωλήνα. Το μυλικό τριτημόριο της έμφραξης του ριζικού σωλήνα αφαιρέθηκε με μία εγγλυφίδα Gates, 2-3mm κάτω από τη γραμμή των ούλων.
Στη συνέχεια, εφαρμόστηκε μία στρώση πάχους 2mm υαλοϊονομερούς κονίας ως αυχενικό βύσμα. Αφού έπηξε το βύσμα υαλοϊονομερούς κονίας, μέσα στην κοιλότητα εφαρμόστηκε λευκαντική γέλη OpalescenceTM Endo.
Για να διατηρηθεί το υλικό στη θέση του και να εξασφαλιστεί η αποτελεσματικότητά του μέσα στο δόντι, η γέλη υπεροξειδίου του υδρογόνου καλύφθηκε με αφρώδη σπόγγο και μετά σφραγίστηκε με προσωρινή κονία.
Μετά από τη θεραπεία συμβούλευσα την ασθενή να παρακολουθεί προσεκτικά το χρώμα του υπό θεραπεία δοντιού.
Αποφεύγω πάντα τη λεύκανση ενδοδοντικά θεραπευμένων δοντιών τις Παρασκευές καθώς η απόκριση στη θεραπεία μπορεί να έχει μεγάλες διακυμάνσεις. Το επιθυμητό αποτέλεσμα μπορεί να επιτευχθεί σε λιγότερο από 24 ώρες. Εάν η θεραπεία πραγματοποιηθεί κατά τη διάρκεια του Σαββατοκύριακου είναι αδύνατο να αφαιρεθεί η λευκαντική γέλη πριν το δόντι να γίνει πολύ πιο φωτεινό από τα παρακείμενα δόντια.
Σε αυτό το περιστατικό ενημερώθηκα από την ασθενή την επόμενη ημέρα ότι το υπό θεραπεία δόντι ταίριαζε με το χρώμα των παρακείμενων δοντιών. Επέλεξα να αφήσω τη λευκαντική γέλη για 48 ακόμα ώρες έτσι ώστε το θεραπευμένο δόντι να δείχνει ελαφρώς φωτεινότερο από τα άλλα πρόσθια δόντια.
Το λευκαντικό Opalescence Endo αφαιρέθηκε από το δόντι μετά από 72 ώρες. Στη συνέχεια το δόντι εμφράχθηκε προσωρινά ώστε η αποκατάσταση να μπορέσει να επαναληφθεί με το νέο χρώμα του δοντιού.
Για τη λεύκανση ολόκληρου του άνω και του κάτω φραγμού χρησιμοποίησα εξατομικευμένους νάρθηκες με μικρούς παρειακούς χώρους. Έδωσα οδηγίες στην ασθενή πώς να εφαρμόζει τη γέλη OpalescenceTM PF 10% σε αυτούς τους νάρθηκες και να τους φορέσει για έξι με οκτώ νύχτες.
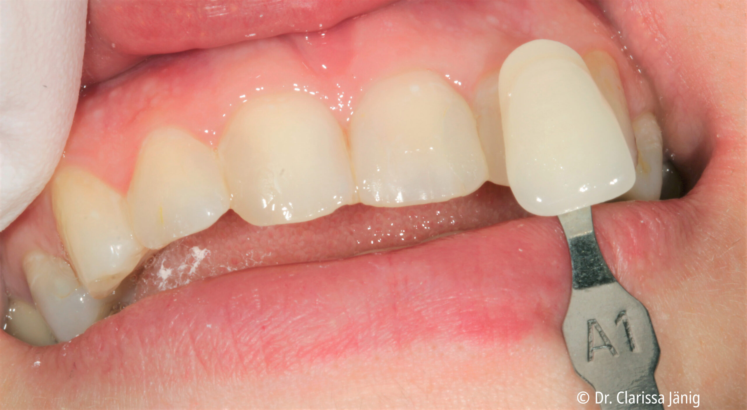
Η γέλη υπεροξειδίου του καρβαμιδίου 10% οξειδώνει τα δυσχρωμικά μόρια στα δόντια της ασθενούς μέσα σε έξι με οκτώ νύχτες και οδηγεί σε ένα άριστο αποτέλεσμα: χρώμα δοντιών Α1.
Έχοντας επιτύχει χρώμα Α1 στα δόντια, ο φραγμός εξακολουθεί να φαίνεται ανώμαλος, μη ικανοποιητικός αισθητικά. Τα παλιά αποχρωματισμένα όρια των αποκαταστάσεων (δευτερογενής και τριτογενής τερηδόνα) δεν επηρεάστηκαν από τη θεραπεία της λεύκανσης των δοντιών. Συνεπώς απαιτούταν περαιτέρω επανορθωτική θεραπεία.
Η επανορθωτική θεραπεία μπορεί να αρχίσει αφού έχει περάσει τουλάχιστον ένα διάστημα δύο εβδομάδων μετά από τη θεραπεία της λεύκανσης των δοντιών. Αυτό εξασφαλίζει ότι η συγκόλληση της ρητίνης δεν θα ανασταλεί από το οξυγόνο που απελευθερώνεται κατά τη διάρκεια της λεύκανσης των δοντιών.
Τελικά αποκαταστάθηκαν οι προβληματικές εμφράξεις και οι τερηδονικές βλάβες της ασθενούς, δίνοντας στο πρόσωπό της ένα φωτεινό χαμόγελο. Αργότερα μας ανέφερε με ενθουσιασμό ότι τώρα τολμά και πάλι να γελά και να δείχνει τα δόντια της. Ένα άμεσο αποτέλεσμα αυτής της θεραπείας. Αρκετοί συνάδελφοι και συγγενείς της παρατήρησαν το αποτέλεσμα αυτής της επιτυχημένης θεραπείας οδοντικής λεύκανσης και το σχολίασαν. Η ασθενής είναι πολύ ευχαριστημένη που έχει ένα νέο λαμπερό χαμόγελο.
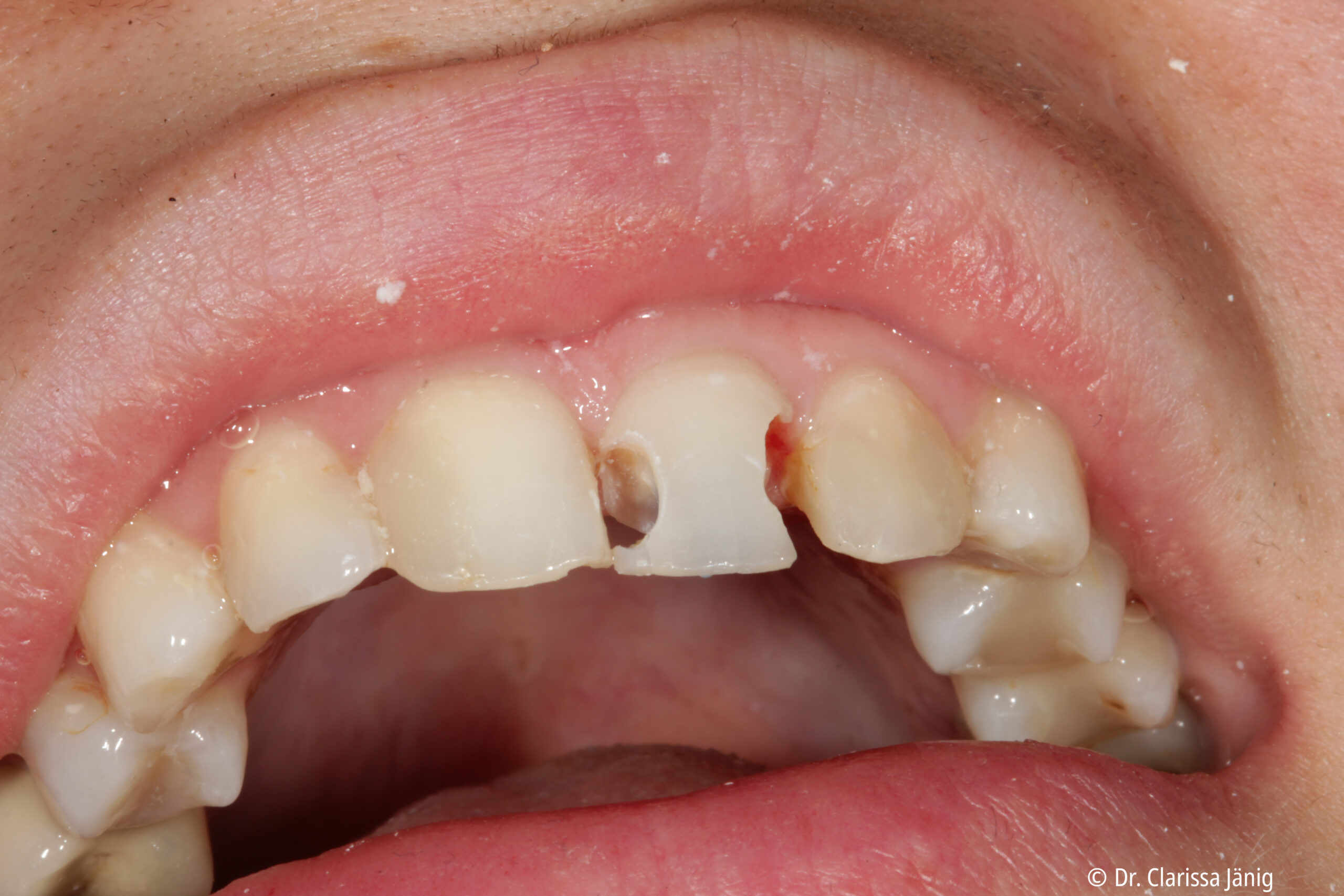
Η κατάσταση μετά από την εγκυμοσύνη, που αποκαλύπτει διάφορες τερηδονικές βλάβες και δευτερογενή τερηδόνα στην πρόσθια περιοχή. Το δόντι 21 εμφανίζει γκρίζους αποχρωματισμούς λόγω της έμφραξης της ενδοδοντικής θεραπείας.
Η έμφραξη του ριζικού σωλήνα μετά από τη διάνοιξη του δοντιού διαμέσου του ανοίγματος του παλαιού τρυπανισμού και την αφαίρεση του μυλικού τριτημορίου της έμφραξης του ριζικού σωλήνα.
Εφαρμογή της λευκαντικής γέλης Opalescence Endo 35% μέσα στο δόντι.
Προσωρινή έμφραξη της κοιλότητας με μία προσωρινή κονία.
Η κατάσταση μετά από τη λεύκανση του ενδοδοντικά θεραπευμένου δοντιού με λευκαντικό Opalescence Endo. Το δόντι δείχνει μόνον λίγο φωτεινότερο, καθώς η παλαιά έμφραξη και η τερηδόνα εξακολουθούν να έχουν μία δυσχρωμική επίδραση στο δόντι.
Εξατομικευμένοι νάρθηκες με μικρούς χώρους. Η ασθενής φόρεσε αυτούς τους νάρθηκες για έξι νύχτες, χρησιμοποιώντας τη λευκαντική γέλη Opalescence PF 10%.
Λεύκανση των δοντιών της άνω και της κάτω γνάθου με εξατομικευμένους νάρθηκες και γέλη υπεροξειδίου του καρβαμιδίου Opalescence PF 10%.
Η κατάσταση μετά από την εφαρμογή της λευκαντικής γέλης Opalescence Endo στο δόντι 21 και τη λεύκανση του άνω και του κάτω φραγμού- αλλά πριν από την αντικατάσταση των εμφράξεων και τη συντηρητική θεραπεία.
Αρχική αντικατάσταση των παλαιών εμφράξεων.
Το λαμπερό χαμόγελο της ασθενούς στο τέλος της θεραπείας.
English













Επερχομενα Events
Σεμινάρια
Bogo TEST – 2 product
Ημερομηνία διεξαγωγής: 8-9/02/2025 (Αθήνα)
Σεμινάρια
Bogo TEST – 1 product
Ημερομηνία διεξαγωγής: 8-9/02/2025 (Αθήνα)
Σεμινάρια
TEST – 2ήμερο Σεμινάριο Botox & Dermal Fillers (Αθήνα)
Ημερομηνία διεξαγωγής: 8-9/02/2025 (Αθήνα)
Σεμινάρια
Χρήση του πρωτοξειδίου του αζώτου στην καθημερινή οδοντιατρική κλινική πράξη
Ημερομηνίες διεξαγωγής: Module I: 28-29-30/3/2025, Module 2: 30-31/5-1/6/2025, Module 3
Σεμινάρια
Κλινικό Πρόγραμμα Βασικής Εκπαίδευσης στην Εμφυτευματολογία
Σεμινάρια
Mastering Soft Tissue Surgery, 2025
Ημερομηνίες διεξαγωγής: MODULE I 04-06 APR 2025 • MODULE II 19-21 JUNE 2025 • MODULE III 24-26 JUL 2025 • MODULE IV OCT 2025